Foram encontradas 933 questões.

Disponível em: <www.uptodate.com>. Acesso em: 16 fev. 2023.
Um homem de 41 anos de idade apresentou dor torácica de início abrupto após libação alcoólica, seguida de vários episódios de vômitos. O estudo radiológico de tórax evidenciou derrame pleural à esquerda, sendo submetido a drenagem torácica com saída de líquido achocolatado e resíduos alimentares. Com base nessas informações, assinale a alternativa que designa a síndrome supracitada.
Provas
Um paciente de 65 anos de idade, hipertenso, diabético dependente de insulina e obeso, chegou à unidade de pronto atendimento ictérico (4+/4+), hipotenso (85 mmHg x 50 mmHg), confuso (ECG = 13 pontos), febril (38,5 ºC), taquicárdico (122 bpm) e com dor abdominal. A principal hipótese diagnóstica foi sepse de foco abdominal – colangite. A sepse é uma síndrome clínica que tem anormalidades fisiológicas, biológicas e bioquímicas causadas por uma resposta desregulada do hospedeiro à infecção. A sepse e a resposta inflamatória que se segue podem levar à síndrome de disfunção de múltiplos órgãos e à morte.
Considerando o exposto, assinale a alternativa que corresponde a parâmetros do escore de SOFA.
Provas
A artéria retal inferior é um ramo proveniente da artéria
Provas
Um homem de 24 anos de idade, branco, comerciante, natural da Ucrânia e residente em São Paulo há cerca de 13 anos, procurou pronto-socorro por causa de sucessivos episódios de dor abdominal epigástrica intensa (8/10), sem irradiação, náuseas ou vómitos, febre sem haver relação temporal com a ingesta de alimentos. O paciente negou ter hábitos alcoólicos, tabágicos, toxicofílicos ou a ingesta de fármacos. Negou o uso de substâncias anabólicas e esteroides andrógenos. Após a realização de tomografia de abdome, a principal hipótese diagnóstica foi de adenoma hepatocelular (adenoma hepático). O risco de transformação maligna de adenoma para um carcinoma hepatocelular é de aproximadamente 5%, e os fatores de risco incluem sexo masculino e lesão
Provas
Um paciente de 18 anos de idade, solteiro, estudante, natural e procedente de São Paulo, queixa principal pele amarelada há cinco meses. HDA: O paciente refere icterícia, febre descontínua de predomínio noturno, vômitos, colúria, acolia fecal, dor abdominal em hipocôndrio direito e mialgia há cinco meses. HPP: nega comorbidades, viagens recentes, uso de medicamentos, alergias, transfusões sanguíneas, tabagismo, etilismo ou uso de drogas ilícitas. Biópsia hepática: fragmentos de parênquima hepático com arquitetura lobular preservada, com expansão moderada dos espaços-porta por fibrose, com esboço de septos porta-porta e moderado infiltrado inflamatório crônico, com necrose em saca-bocado focal. Hepatite crônica de atividade discreta, estádio 2 – achado compatível com hepatite autoimune.
Considerando essas informações, assinale a alternativa que indica o anticorpo mais característico da referida patologia.
Provas
Certo lactente de 1 mês de vida, caucasiano, nascido a termo, com Apgar = 09/10, PN = 3520 g, após o 15º dia de vida, começou a apresentar vômitos não biliosos depois das mamadas, associados a irritabilidade. Foi admitido no hospital por causa de desidratação intensa em razão da persistência dos vômitos. Ao exame físico do abdome, constataram-se hiperperistalse gástrica (ondas de Kussmaul), distensão do andar superior abdominal e oliva palpável adjacente à loja vesicular. O restante do exame físico mostrou-se sem alterações.
Tendo em vista essas informações, a principal hipótese diagnóstica é
Provas

Disponível em: <www.uptodate.com>. Acesso em: 16 fev. 2023.
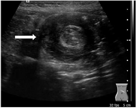
Uma menina de 10 meses de vida foi levada ao departamento de emergência com vômitos persistentes, letargia, distensão abdominal e choro inconsolável. Optou-se então, pela realização de exames laboratoriais e de uma ultrassonografia de abdome total. Com base na imagem apresentada, qual é a principal patologia?
Provas
No que tange à colangite esclerosante primária, assinale a alternativa que apresenta o marcador sorológico presente em 30 – 80% dos casos.
Provas
A colangite esclerosante primária (CEP) é um distúrbio progressivo crônico de etiologia desconhecida, que é caracterizado por inflamação, fibrose e estreitamento dos ductos de médio e de grande calibres na árvore biliar intrahepática e (ou) extra-hepática. Aproximadamente 50% dos pacientes com CEP têm doença inflamatória intestinal (DII) concomitante.
Qual das DII é mais relacionada com a patologia mencionada?
Provas
O arco de Riolan é uma anastomose formada pelas artérias mesentérica
Provas
Caderno Container