Foram encontradas 1.195 questões.
3092503
Ano: 2023
Disciplina: Direito Tributário
Banca: Darwin
Orgão: Pref. Lagoa Itaenga-PE
Disciplina: Direito Tributário
Banca: Darwin
Orgão: Pref. Lagoa Itaenga-PE
Provas:
Do CTN, A certidão negativa será sempre expedida
nos termos em que tenha sido requerida e será fornecida dentro de quantos dias da data da entrada do requerimento na repartição?
Provas
Questão presente nas seguintes provas
3092502
Ano: 2023
Disciplina: Administração de Recursos Materiais
Banca: Darwin
Orgão: Pref. Lagoa Itaenga-PE
Disciplina: Administração de Recursos Materiais
Banca: Darwin
Orgão: Pref. Lagoa Itaenga-PE
Provas:
- Administração de EstoquesPrevisão para Estoques
- Administração de EstoquesSistemas de Controle de Estoques
- Classificação de MateriaisTipos de Classificação de MateriaisAplicação, Perecibilidade e Periculosidade
A decisão acerca do dimensionamento do estoque
de segurança em órgãos públicos é uma tarefa do
gestor de estoques, que leva em consideração aspectos
tais como, EXCETO:
Provas
Questão presente nas seguintes provas
3092501
Ano: 2023
Disciplina: Administração de Recursos Materiais
Banca: Darwin
Orgão: Pref. Lagoa Itaenga-PE
Disciplina: Administração de Recursos Materiais
Banca: Darwin
Orgão: Pref. Lagoa Itaenga-PE
Provas:
Das Atividades na gestão de materiais, refere-se às
funções da Gestão de estoques, EXCETO:
Provas
Questão presente nas seguintes provas
Da Lei nº 13.022, de 8 de agosto de 2014, é
INCORRETO afirmar:
Provas
Questão presente nas seguintes provas
São medidas básicas a serem tomadas em caso de
assaltos, EXCETO:
Provas
Questão presente nas seguintes provas
- Equipamentos RadiológicosExames Radiológicos em Contraste, Gerais e Especiais
- Protocolos de Exames de Medicina NuclearProcessamento de Imagens Radiológicas
Quanto à fluoroscopia é INCORRETO afirmar:
Provas
Questão presente nas seguintes provas
- Equipamentos RadiológicosOperação de Equipamentos e Posição Radiológica
- Equipamentos RadiológicosExames Radiológicos em Contraste, Gerais e Especiais
- Fundamentos de Dosimetria e Radiobiologia
O raio-x é uma radiação eletromagnética, portanto
uma prima em primeiro grau da luz, apenas com
comprimento de onda muito menor e freqüência muito
maior, por isso tem quase todas as suas propriedades
semelhantes à luz. Apenas algumas características são
diferentes que inclui, EXCETO:
Provas
Questão presente nas seguintes provas
- Anatomia e Fisiologia HumanaSistema Esquelético, Articulações e Músculos
- Patologia, Diagnóstico e Tratamento Radioterápico
Triângulo de Codman é um termo usado para
descrever a área triangular de novo osso subperiosteal
que é criada quando uma
lesão, frequentemente um tumor, eleva o periósteo
para longe do osso. As principais causas deste sinal são,
EXCETO:
Provas
Questão presente nas seguintes provas
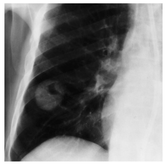
A imagem abaixo apresenta:

Provas
Questão presente nas seguintes provas

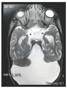
A imagem apresenta sinais de:
Provas
Questão presente nas seguintes provas
Cadernos
Caderno Container