Foram encontradas 60 questões.
Com base na Lei Federal nº 8.080/1990 (Lei Orgânica do SUS), assinale a alternativa INCORRETA.
Provas
Paciente de 7 anos de idade vem se queixando para sua mãe de perda urinária constante e disúria. Já teve alguns episódios de infecção urinária. Ao prosseguir a investigação, observou-se duplicidade pielo-ureteral completa, com ureter ectópico no rim direito. Considerando esse quadro, assinale a alternativa correta.
Provas
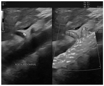
Em relação ao doppler, assinale a alternativa correta.
Provas
Qual estrutura está apontada na imagem a seguir e quais vasos se ramificam diretamente dela em condições habituais?

Provas
Assinale a alternativa que apresenta os músculos que fazem parte do manguito rotador.
Provas
Países do Brics se unem para eliminar doenças ligadas à pobreza e à desigualdade
A iniciativa mira causas sociais e busca esforços coletivos para superar doenças negligenciadas pelos países do Norte
Os países do Brics lançaram uma parceria com o objetivo de eliminar as chamadas Doenças Socialmente Determinadas (DSDs), enfermidades cuja ocorrência e gravidade estão diretamente ligadas à pobreza e à desigualdade. A iniciativa busca fortalecer a cooperação entre as nações, mobilizar recursos e avançar esforços coletivos para eliminação integrada dessas doenças.
Quem explica é Gonzalo Vecina Neto, professor da Faculdade de Saúde Pública da USP e ex-presidente da Anvisa: “É importante entender que existe um conjunto de doenças infectocontagiosas que incidem principalmente sobre populações pobres. Os determinantes sociais são o que faz acontecer essa carga de doenças.” Entre as doenças priorizadas pela ação da parceria estão tuberculose, hanseníase, dengue e malária — todas com alta prevalência no Sul Global. O professor aponta que a tuberculose “está sempre presente na nossa população da periferia das grandes cidades e nos fundões da nossa sociedade”. A hanseníase, “infelizmente uma doença milenar”, também persiste em números elevados.
Além do reforço aos sistemas de saúde, Vecina comenta o contexto estrutural que agrava essas doenças: “Como são doenças determinadas socialmente, têm pobreza e a estrutura pública de vida no meio do caminho. Saúde não resolve esse tipo de problema. Precisa de uma ação intersetorial, precisa de educação, de habitação, e de condições sociais melhores”. Nesse sentido, ele reforça a urgência de avançar na pesquisa científica para essas doenças, historicamente negligenciadas pela indústria farmacêutica dos países do Norte. “O Norte rico não quer saber de fazer pesquisa para nós. Então nós temos que fazer pesquisa para as nossas doenças e ter soluções melhores.”
A parceria assinada pelo Brics também aponta para a construção de uma agenda comum nos fóruns internacionais, ampliação de financiamento via bancos de desenvolvimento e uso de tecnologias como inteligência artificial, vigilância epidemiológica digital e plataformas interoperáveis. Para Vecina, no entanto, a resposta mais eficaz não virá apenas de laboratórios ou políticas setoriais. “O remédio mais importante de todos implica mais igualdade entre os seres humanos que vivem neste mundo.”.
Adaptado de: https://jornal.usp.br/radio-usp/paises-do-brics-seunem-para-eliminar-doencas-ligadas-a-pobreza-e-a-desigualdade/. Acesso em: 29 out. 2025.
Assinale a alternativa correta no que diz respeito à compreensão do texto apresentado.
Provas
De acordo com a Lei nº 8.142/1990, para que estados, municípios e o Distrito Federal recebam repasses do Fundo Nacional de Saúde, é necessário, além de outros requisitos previstos em lei,
Provas
Durante um congresso nacional sobre gestão hospitalar, uma empresa fornecedora de equipamentos hospitalares propôs-se a custear as despesas de transporte e hospedagem de dois servidores da SES/SC, convidados para apresentar experiências exitosas de gestão no evento. O convite foi feito formalmente, com registro público, e a participação dos servidores foi autorizada pela chefia imediata, pois o congresso se relacionava diretamente às atribuições institucionais. Os custos foram declarados à autoridade competente, sem contrapartida de favorecimento à empresa ou assinatura de contratos. De acordo com o Código de Conduta da SES/SC, essa situação pode ser caracterizada como um caso de
Provas
Um servidor público, responsável pelo setor de compras de uma Secretaria Estadual de Saúde, direcionou um processo licitatório para beneficiar uma empresa de equipamentos hospitalares. Durante a investigação, constatou-se que a empresa recebeu valores acima dos praticados no mercado e que o servidor participou ativamente da montagem do edital para favorecer o contratado. Diante dessa situação, nos termos da Lei nº 8.429/1992, a conduta desse servidor caracteriza
Provas
Um servidor efetivo do quadro de pessoal da SES/SC foi colocado à disposição de uma fundação hospitalar vinculada à mesma Secretaria, para exercer cargo em comissão. Durante esse período, continuou recebendo sua remuneração pelo órgão de origem e desempenhou funções administrativas de direção e coordenação. Após dois anos nessa situação, solicitou que o tempo em que esteve à disposição fosse computado para fins de promoção por antiguidade, conforme a Lei nº 6.745/1985. Considerando esse caso e a lei descrita, assinale a alternativa correta.
Provas
Caderno Container